RedacciónUn estudio realizado por investigadores del Centro de Investigación del Cáncer (CSIC – Universidad de Salamanca-Ficus) y el Instituto de…
Leer Más

RedacciónUn estudio realizado por investigadores del Centro de Investigación del Cáncer (CSIC – Universidad de Salamanca-Ficus) y el Instituto de…
Leer Más
RedacciónLa proteína ACBP (Acyl-CoA Binding Protein) podría convertirse en una diana terapéutica clave para tratar la obesidad asociada a ciliopatías…
Leer Más
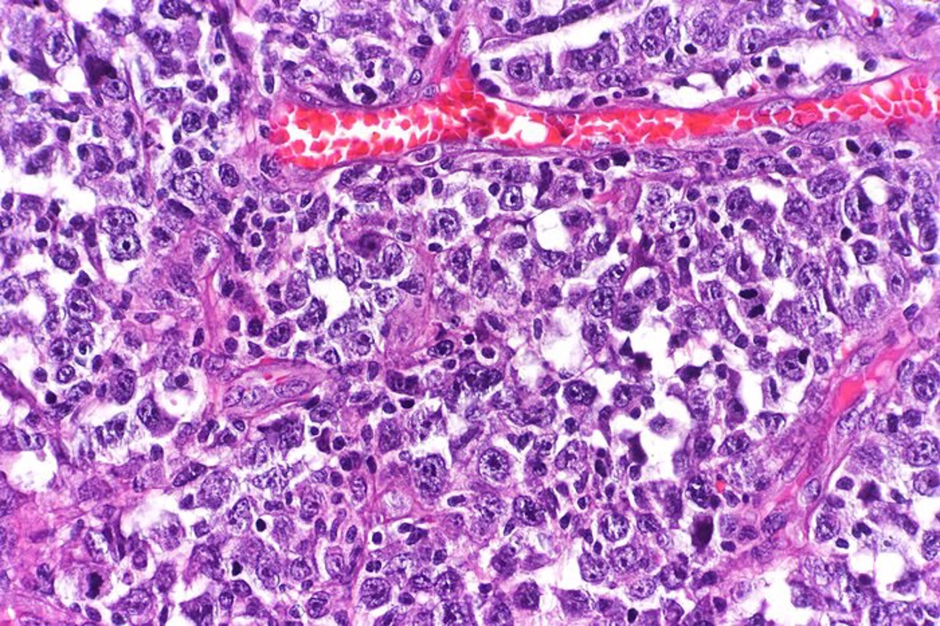
RedacciónLa ausencia de la proteína Zc3h13 disminuye la metilación m6A en ARN mensajeros y favorece que las células tumorales tengan…
Leer Más